Automobile accidents falls and sports injuries can all lead to ankle fractures. These minuscule fractures affect many people from elite athletes to relatively inactive older adults.
Hairline Fracture Symptoms Treatment And Causes
Ice application is advised by.
Hairline fracture ankle. Most stress fractures are caused by overuse and repetitive activity and are common in runners and athletes who participate in running sports such as soccer and basketball. Numbness in the affected area. Swelling in the affected area.
Ankle fractures almost always occur during a traumatic event to the body. If only the ligaments give way and tear you have sprained the ankle. Stress fracture ankle symptoms include pain swelling and immobility.
Bruising as a result of hairline fracture of the ankle. Hairline fractures usually develop gradually as a result of overuse as opposed to larger bone fractures or breaks that are mostly caused by acute traumas such as a fall. As much as possible keep the legs elevated.
Hairline fracture ankle healing tips if you want to speed up the process of healing refrain from doing activities. Common signs of an ankle fracture include pain swelling bruising and an inability to bear weight on the broken ankle. Hairline fractures are minute cracks on the bones which can become severe if not treated immediately.
A stress fracture of the ankle also known as a hairline fracture is a small micro fracture of the bone. Ankle fracture causes when you stress an ankle joint beyond the strength of its elements you injure the joint. Stress fractures of the foot and ankle a stress fracture is a small crack in a bone or severe bruising within a bone.
Crutches may be recommended too. Navicular a bone on the top of the midfoot. Some cases require complete immobilization using a cast brace.
Its also common to experience a hairline fracture in your. Basically this injury is caused by the depressed response of the bone with the ground reaction forces that are applied to the bones during activities like jumping running or walking.
Ankle Fractures In Children Orthoinfo Aaos
Ankle Fractures In Children Orthoinfo Aaos
Broken Ankle Vs Sprain Symptoms And Recovery Time
Hairline Fracture Ankle X Ray X Ray Hairline Ankle
Broken Ankle Types Of Fractures Diagnosis Treatments
Hairline Fracture Types Symptoms Causes And Treatment
Ankle Joint Fracture Types Classification Symptoms Treatment
Ankle Fractures In Children Orthoinfo Aaos
Imaging In Ankle Fractures Overview Radiography Computed
The Radiology Assistant Ankle Special Fracture Cases
Broken Ankle Types Of Fractures Diagnosis Treatments
Stress Fracture Ankle The Complete Injury Guide Vive Health
Foot And Ankle Fractures Oakland Bone And Joint Specialists
Broken Ankle Types Of Fractures Diagnosis Treatments
Stress Fractures Radiology Reference Article Radiopaedia Org
Ignoring A Hairline Fracture May Lead To A More Serious
Hairline Fracture Types Symptoms Causes And Treatment
Stress Fractures Diagnosis Treatment And Prevention
Radiograph Of Right Ankle Showing The Fracture Of The Distal
Distal Fibula Stress Fracture Virtual Fracture Clinic
11 Tips For Healing A Broken Bone Faster Colin Keeley Medium
What Is A Hairline Fracture Allegraortho
Pictures Of Different Types Of Fractures
Stress Fractures Of The Foot And Ankle Orthoinfo Aaos
Stable Ankle Fracture Footeducation
Ankle Fracture Broken Ankle Stress Fractures
Ankle Fracture Xray The Beltsville Foot And Ankle Center
What Is A Stress Fracture How To Treat A Stress Fracture
5th Metatarsal Fracture Possible Hairline Fracture On My
Foot Stress Fracture Surgery Perth Ankle Stress Fracture
Hairline Fractures Explained A Z Causes Symptoms Treatments
Ankle Joint Fracture Broken Ankle Recovery Broken Ankle
Stress Fracture Causes Symptoms And Treatment
Sprains Fractures Camden Foot Clinic Camden Nsw
Jones Fractures 5th Metatarsal Glendale Metatarsal
Ankle Fracture Guide Causes Symptoms And Treatment Options
Ankle Fractures Broken Ankle Orthoinfo Aaos
Imaging In Ankle Fractures Overview Radiography Computed
Ankle Fracture Broken Ankle Arthroscopy Surgery
Ask Efi What Exercises Are Best After An Ankle Or Heel
Broken Ankle Symptoms Causes Pictures Treatments And Rehab
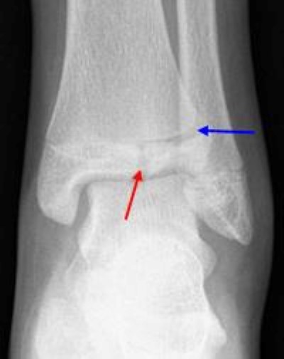
Four Fracture Patterns Unique To Pediatric Patients Mdedge
Stress Fracture Ankle The Complete Injury Guide Vive Health
Ankle Xray Hairline Fracture Stock Photo Download Image
Ankle And Foot Fractures Physiopedia
Ankle Fracture Broken Ankle Arthroscopy Surgery
Tibia Fracture Types Symptoms And Treatment
Broken Ankle Types Of Fractures Diagnosis Treatments
Do I Have A Broken Or Sprained Ankle
Foot Fracture And Ankle Fracture Treatments Penn Medicine
Ankle Sprain Vs Fracture How Are They Different And What
Broken Ankle Due To Talar Bone Fracture
Avoiding The Boot Stress Fractures And Running Runsmart
Your Broken Ankle Recovery Time Treatment Surgery
Hairline Fracture Types Symptoms Causes And Treatment
Lateral Malleolar Fracture An Overview Sciencedirect Topics
Commonly Missed Ankle Injuries Emergency Medicine Cases
Broken Ankle Or A Sprain How Do You Know Beacon
Stress Fractures Symptoms And Causes Mayo Clinic
The Radiology Assistant Ankle Special Fracture Cases
Clinical Practice Guidelines Tibial Shaft Diaphyseal
Salter Harris Fracture Wikipedia
Orthokids Growth Plate Physeal Fractures
Case Of The Day Fibular Stress Fracture Podiatrist Nyc
Stress Fractures Diagnosis Treatment And Prevention
You Could Have A Stress Fracture And Not Even Know It
Fracture Treatment Diagnosis And More Rockwall Orthopedic
Ankle Fracture In Children What You Need To Know
Physical Therapy For An Ankle Fracture
Update On Diagnosis And Management Of Cuboid Fractures
Fibula Fracture Symptoms Treatment And Recovery
Ankle Fractures In Children Orthoinfo Aaos
Lateral Malleolus An Overview Sciencedirect Topics
Hairline Fracture Types Symptoms Causes And Treatment
Adult Foot Fractures A Guide Clinician Reviews
Stress Fracture Causes Symptoms And Treatment
45 Best Ankle Fracture Images Ankle Fracture Ankle Joint
Cureus Is Use Of Bone Cement For Treatment Of Second
Stress Fractures Cleveland Clinic
Update On Diagnosis And Management Of Cuboid Fractures
My Ankle Is Sprained But Is It Fractured Too University
Medial Malleolus Fracture Causes Symptoms Treatment Recovery
Fdfac San Francisco Sports Medicine Foot And Ankle
Fractures Boston Children S Hospital
Treating Occult Stress Fractures In Athletes Podiatry Today





